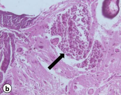
Intracranial myopericitoma. A case report of a rare tumour in a rare location in an AIDS patient
Branko Đurović, Danilo Radulović, Miloš Joković et al.
Analysis of functional outcome of single and double level lumbar discectomy
Surendra Gupta, Deepak Kumar Singh, Anuj Chhabra et al.
“Talk and Die” Syndrome. A comprehensive review
I.D. Lozada-Martínez, A. Galeano-Buelvas, A.C. Pearson-Arrieta et al.
Particular management strategy for intraprocedural coil migration during endovascular treatment of intracranial aneurysm
A. Chiriac, N. Dobrin, Georgiana Ion, Z. Faiyad, I. Poeata
Multiple intracranial aneurysms in subarachnoid haemorrhage. Which one has bled? A diagnostic dilemma
Zahraa F. Al-Sharshahi, Samer S. Hoz, Mustafa M. Altaweel Altaweel
Subarachnoid haemorrhage. A critical neurosurgical emergency
Alexandra Bibiriță; Daniel Teleanu; Alexandru Vlad Ciurea
Meningioma in shape. Can the appearance of tumour margins be considered as a prognostic factor?
A.I. Cucu; Mihaela Cosman; B. Dobrovat; Cristina Dascalu; Ioana Jitaru; R.B. Sandu; A. Tudor; Claud…
The stent-assisted coil-jailing technique for very small intracranial aneurysm treatment
A. Chiriac; N. Dobrin; Georgiana Ion; Z. Faiyad; I. Poeata
Endovascular treatment options for carotid-cavernous fistulae
Roxana Codreanu; Rares Cristian Filep; Lucian Marginean







